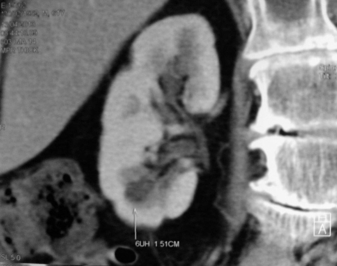
Case Discussion. A column of Bertin is the extension of renal cortical tissue which separates the pyramids, and as such are normal structures. They become of radiographic importance when they are unusually enlarged an may be mistaken for a renal mass ( renal pseudotumor ).. Hipertrofia de columna de Bertin: crecimiento anómalo de la cortical hacia el seno renal, que puede simular una masa sólida. Se produce entre el tercio medio y superior renal (fig. 1B).-Lobulación fetal: se diagnostica cuando la superficie del riñón presenta un marcado abombamiento, sin alteración en la anatomía renal corticomedular.-

hypertrophied column of Bertin pacs

Hipertrofia de las articulaciones interapofisarias o facetarias ¿Qué es? YouTube

SEMG EcoEnigma

Residencia Radiología

Ecografía del riñón normal y variantes anatómicas. Nefrología al día

SEMG EcoEnigma

Residencia Radiología

Hypertrophied column of Bertin a renal tumour mimicker Eurorad

What are columns of Bertini? YouTube

Hipertrofia Das Facetas Articulares

Minha filha fez um ultrassom Hipertrofia Coluna de Bertin! Médico Responde

263. La Columna de Bertin. Ecografía Fácil

HIPERTROFIA DE LA ESPALDA YouTube

Hipertrofia del ligamento amarillo causas y tratamiento

263. La Columna de Bertin. Ecografía Fácil

Hypertrophied column of Bertin Radiology Reference Article Radiology

Hipertrofia Explicada O Que Acontece com Seu Corpo? Sérgio Bertoluci X21 YouTube

Columnas bertin fotografías e imágenes de alta resolución Alamy

Hypertrophied column of Bertin a renal tumour mimicker Eurorad

Hypertrophied or prominent column of Bertin, Ultrasound and color Doppler video YouTube
La columna renal (o columna de Bertin, o columna de Bertin) es una extensión medular de la corteza renal entre las pirámides renales. Permite que la corteza esté mejor anclada. Una columna renal hipertrofiada (o pseudotumor renal) se puede diferenciar de un tumor renal real con la ayuda de una gammagrafía con DMSA. La exploración mostrará el área con actividad normal si se trata de un.. A: colocación de la sonda e imágenes ecográficas en los 2 cortes típicos de la exploración del aparato urinario. B: riñón en longitudinal con hipertrofia de columna de Bertin. C: riñón en transversal con quiste cortical. D y E: riñón con quistes sinusales en corte longitudinal y transversal.